Galería de sonrisas antes y después

Welcome to our before and after gallery showcasing the amazing results of braces! See the incredible transformations our patients have experienced and get inspired for your own journey towards a healthier, happier smile. We’re here to support you every step of the way. Let’s get started!

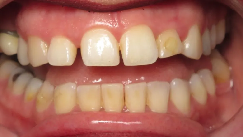
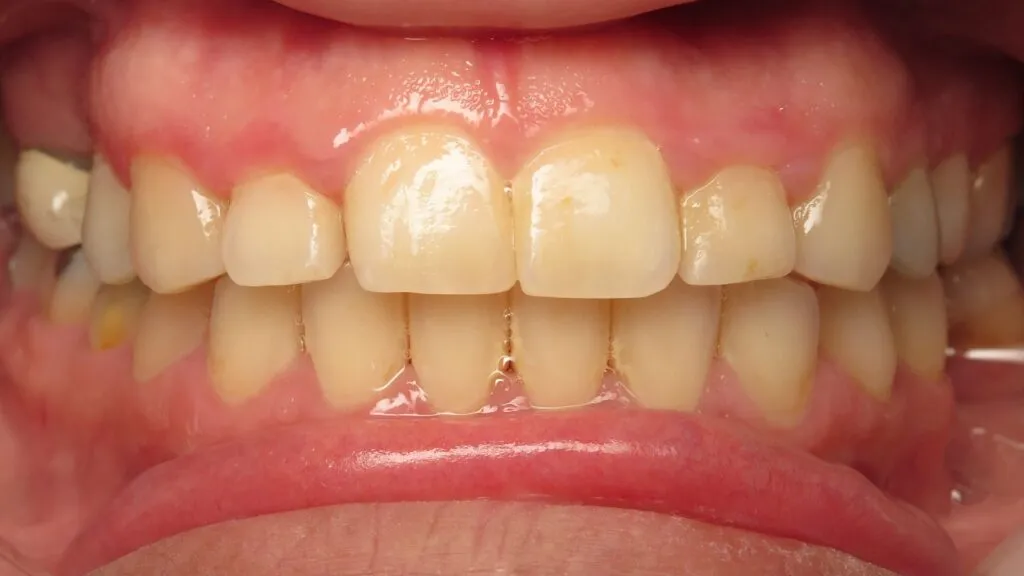
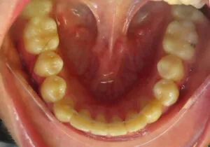
Apiñamiento

El apiñamiento se refiere al espacio insuficiente en la mandíbula para que los dientes encajen correctamente, lo que lleva a dientes superpuestos o torcidos.

Close-up of crowded teeth showing overlapping and twisted alignment, highlighting the dental issue of crowding before orthodontic treatment. DESPUÉS
Before and after orthodontic treatment showing corrected crowding of teeth with improved alignment and spacing. ANTES
Close-up of teeth showing dental crowding, highlighting overlapping and misaligned teeth, relevant to orthodontic treatment transformations at 360 Orthodontics. DESPUÉS
Before and after images of teeth demonstrating crowding, highlighting the transformation achieved through orthodontic treatment at 360 Orthodontics. ANTES
Close-up of teeth showing corrected crowding after orthodontic treatment, highlighting a straightened smile with aligned upper and lower teeth. DESPUÉS
Before and after comparison of teeth showing significant improvement in alignment and spacing after orthodontic treatment at 360 Orthodontics. ANTES
Image of crowded lower teeth showing overlapping and misalignment, illustrating the dental condition of crowding relevant to orthodontic treatment at 360 Orthodontics. DESPUÉS
View of crowded lower teeth in an open mouth, highlighting dental misalignment before orthodontic treatment at 360 Orthodontics. ANTES

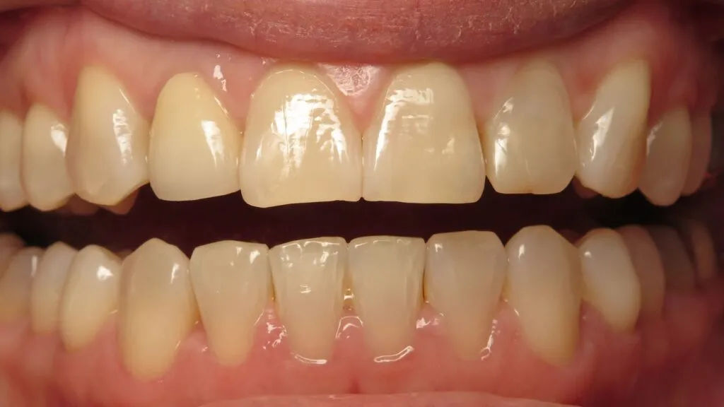
Espaciado

El espaciado se refiere a las lagunas o espacios entre los dientes que pueden afectar la apariencia y la higiene dental.

Close-up of teeth showing spacing issues, highlighting gaps between teeth, relevant to orthodontic treatment and smile transformation at 360 Orthodontics. DESPUÉS
Close-up of teeth showing spacing issues, highlighting gaps between teeth in a dental context related to orthodontic treatment at 360 Orthodontics. ANTES
Before and after image of teeth showing spacing issues, highlighting the transformation achieved through orthodontic treatment at 360 Orthodontics. DESPUÉS
Close-up of upper and lower teeth showing spacing issues, illustrating the dental condition related to gaps between teeth in a before and after orthodontic treatment context. ANTES
Close-up of teeth showing spacing issues, highlighting gaps between teeth, relevant to orthodontic treatment results at 360 Orthodontics. DESPUÉS
Before and after image showcasing orthodontic treatment results, highlighting teeth spacing issues and improvements in dental alignment at 360 Orthodontics. ANTES
Before and after image of teeth exhibiting spacing issues, showcasing improved alignment and appearance after orthodontic treatment at 360 Orthodontics. DESPUÉS
Before and after image of teeth showing spacing issues, highlighting orthodontic treatment results for improved dental alignment and aesthetics. ANTES

mordida cruzada

La mordida cruzada es una afección dental en la que los dientes superiores e inferiores no se alinean correctamente cuando las mandíbulas están cerradas. Específicamente, la mordida cruzada ocurre cuando uno o más de los dientes superiores se colocan dentro de los dientes inferiores cuando las mandíbulas están cerradas.

Close-up of teeth showing a crossbite condition with upper teeth misaligned inside lower teeth, illustrating orthodontic challenges addressed by braces at 360 Orthodontics. DESPUÉS
Close-up of teeth showing a crossbite condition with upper teeth positioned inside lower teeth, illustrating orthodontic treatment before braces at 360 Orthodontics. ANTES
Close-up of teeth showing a crossbite condition, with upper teeth positioned inside lower teeth, highlighting misalignment before orthodontic treatment. DESPUÉS
Before image of a crossbite, showing misalignment of upper and lower teeth with overlapping and uneven positioning. ANTES
Close-up of teeth showing a crossbite condition, where upper teeth overlap lower teeth, highlighting misalignment issues relevant to orthodontic treatment. DESPUÉS
Close-up of teeth showing crossbite condition, with upper teeth misaligned inside lower teeth, illustrating orthodontic challenges related to dental alignment. ANTES
Image of a dental crossbite showing misalignment of upper and lower teeth, highlighting orthodontic treatment results at 360 Orthodontics. DESPUÉS
Crossbite dental condition showing misalignment of lower teeth positioned inside upper teeth, emphasizing orthodontic treatment at 360 Orthodontics. ANTES

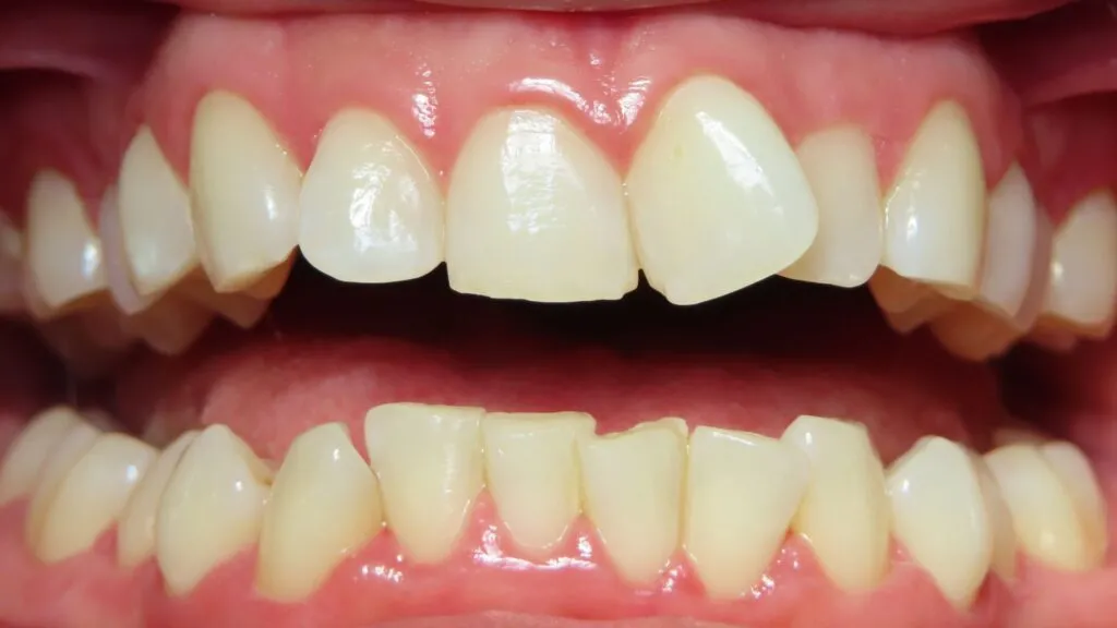
sobremordida

La sobremordida se refiere a una desalineación de los dientes y la mandíbula donde los dientes superiores se colocan demasiado hacia adelante en relación con los dientes inferiores.

Close-up of a smile showing straightened teeth after orthodontic treatment, highlighting dental alignment and improved appearance. DESPUÉS
Close-up of a patient's teeth showing gaps and misalignment, highlighting dental issues addressed in orthodontic treatments at 360 Orthodontics. ANTES
Close-up of straightened teeth showcasing orthodontic treatment results, highlighting improved alignment and dental aesthetics at 360 Orthodontics. DESPUÉS
Close-up of teeth showing misalignment and gaps, illustrating dental conditions relevant to orthodontic treatments at 360 Orthodontics. ANTES
Close-up of teeth showing open bite condition, highlighting misalignment and gaps, relevant to orthodontic treatment transformations at 360 Orthodontics. DESPUÉS
Open bite dental condition showing misalignment of upper and lower teeth, relevant to orthodontic treatment transformations at 360 Orthodontics. ANTES
Before and after image of teeth showing open bite condition, highlighting misalignment and gaps between upper and lower teeth, relevant to orthodontic treatment at 360 Orthodontics. DESPUÉS
Close-up of teeth showing open bite condition, highlighting gaps between upper and lower teeth, relevant to orthodontic treatment transformations. ANTES

¿Estás listo para transformar tu sonrisa?

Bandera de México, representando el servicio de ortodoncia en Santa Ana, CA, para adolescentes y familias hispanohablantes.ES

Thank you for signing up for our Free Consultation, one of our team members will be in contact with you shortly!

Skip to content